

Thoraxchirurgie
Die Thoraxchirurgie am Städtischen Klinikum Dessau ist eine eigenständige Abteilung der Klinik für Allgemein-, Viszeral- und Thoraxchirurgie und steht unter der Leitung von Oberarzt Dr. med. Thomas Bönsch.
Die Behandlung unserer Patienten, insbesondere bei Tumorerkrankungen, erfolgt im Zusammenschluss interdisziplinär arbeitender Spezialisten über unser zertifiziertes Lungenzentrum.
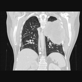
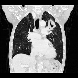
Alle wesentlichen diagnostischen und therapeutischen Verfahren zur Behandlung des Lungenkrebses sind an unserem Klinikum verfügbar z.B. PET-CT, MRT, Endosonographie (EBUS), Chemotherapie, Strahlentherapie, Operation, endoskopische Tumorabtragung und Stentimplantation, Behandlung von Tochtergeschwülsten (Metastasen) u.a. über Neuro- und Viszeralchirurgie oder interventionelle Radiologie.
Die modern ausgestattete Abteilung für Thoraxchirurgie am Städtischen Klinikum Dessau gewährleistet eine optimale Versorgung beim Lungenkrebs als auch bei anderen Erkrankungen im oder am Brustkorb. So werden z.B. Metastasen mit einem hocheffektiven Diodenlaser entfernt und Rippenfrakturen mit Titanklammern stabilisiert.
Minimal-invasive Verfahren (VATS - videoassistiert) werden dabei, wenn immer möglich, angewendet. So wurden bereits weit über 100 Patienten mit Lungenkrebs durch diese sogenannte Schlüsselloch-Chirurgie behandelt.


Leistungsspektrum der Thoraxchirurgie
Das komplette Leistungsspektrum der Thoraxchirurgie umfaßt:
- Bronchialkarzinom – stadiengerechte Operation minimalinvasiv (z.B. VATS-Lobektomie) oder offen, inklusive erforderlicher Erweiterungen, sogenannter Manschettenresektionen
- Lungenmetastasen (Tochtergeschwülste anderer Tumorerkrankungen) zur Diagnosesicherung oder therapeutischen Entfernung, meist gewebesparend durch Laserchirurgie
- Erkrankungen des Mittelfellraumes (Mediastinale Tumore, Lymphknoten, Zysten), zur Diagnostik auch über Mediastinoskopie
- Erkrankungen des Rippenfells (Pleuraerguss, Pleuraempyem, Pleuramesotheliom) wenn immer möglich minimal-invasiv - VATS
- Gutartige Lungenerkrankungen wie Pneumothorax (Lungenriss), Lungenemphysem (Volumenreduktion), Bronchiektasien (Atemwegserweiterung), diagnostische Eingriffe bei unklaren Lungengerüsterkrankungen, in aller Regel minimal-invasiv
- Thoraxtrauma (Verletzungen der Lunge und der Thoraxwand), ggf. mit Stabilisierung von Rippenserienfrakturen durch Titanklammern
- Tumore der Thoraxwand ggf. mit Thoraxwandersatz (Netz oder Titanspangen)
- Tumore der Speiseröhre (wenn möglich abdomineller Teil der Operation minimal-invasiv durch Laparoskopie)
- Multimodale Therapiekonzepte (Kombination von Chemotherapie, Operation und Strahlentherapie) über unser Thorax-Tumorboard und Onkologisches Zentrum
Oberarzt Dr. med. Thomas Bönsch
Facharzt für Allgemein-, Viszeral- und Thoraxchirurgie



